پیشبینی هوش مصنوعی از بیماری بعدی آدمها
پژوهشگران غربی مدلی را با هوش مصنوعی توسعه دادهاند که بیماریهای احتمالی یک فرد را پیشبینی میکند. آیا آینده پزشکی تغییر خواهد کرد؟
پژوهشگران غربی مدلی را با هوش مصنوعی توسعه دادهاند که بیماریهای احتمالی یک فرد را پیشبینی میکند. آیا آینده پزشکی تغییر خواهد کرد؟
اکوایران: این آزمایش خون که توسط شرکت Fujirebio Diagnostics توسعه داده شده است، نسبت دو پروتئین را در خون اندازهگیری میکند. این نسبت با پلاکهای آمیلوئید در مغز مرتبط است.
اکوایران: محققان یک درمان نوآورانه ارائه دادهاند که با هدف قرار دادن انباشت مضر پروتئینها در مغز، نتایج امیدوارکنندهای در بهبود عملکرد مغزی در موشهای پیر به همراه داشته است.
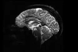
اکوایران: محققان فرانسوی یک دستگاه اِمآرآی توسعه دادهاند که میتواند تصاویر مغز را در کوتاهترین زمان و بالاترین کیفیت ارائه دهد. این موضوع میتواند درمان بیماریهایی نظیر آلزایمر، پارکینسون و اختلال دوقطبی را متحول کند.
نشریه فایننشال تایمز اخیرا شخصیت برتر سال 2023 را معرفی کرده است، لارس فرورگارد یورگنسن، اقتصاددان حوزه سلامت در شرکت نوونوردیسک این عنوان را از آنِ خود کرده است.
هزینه درمان اختلالات عصبی در سال ۲۰۲۰، حدود 81.67 میلیارد گزارش شده است.