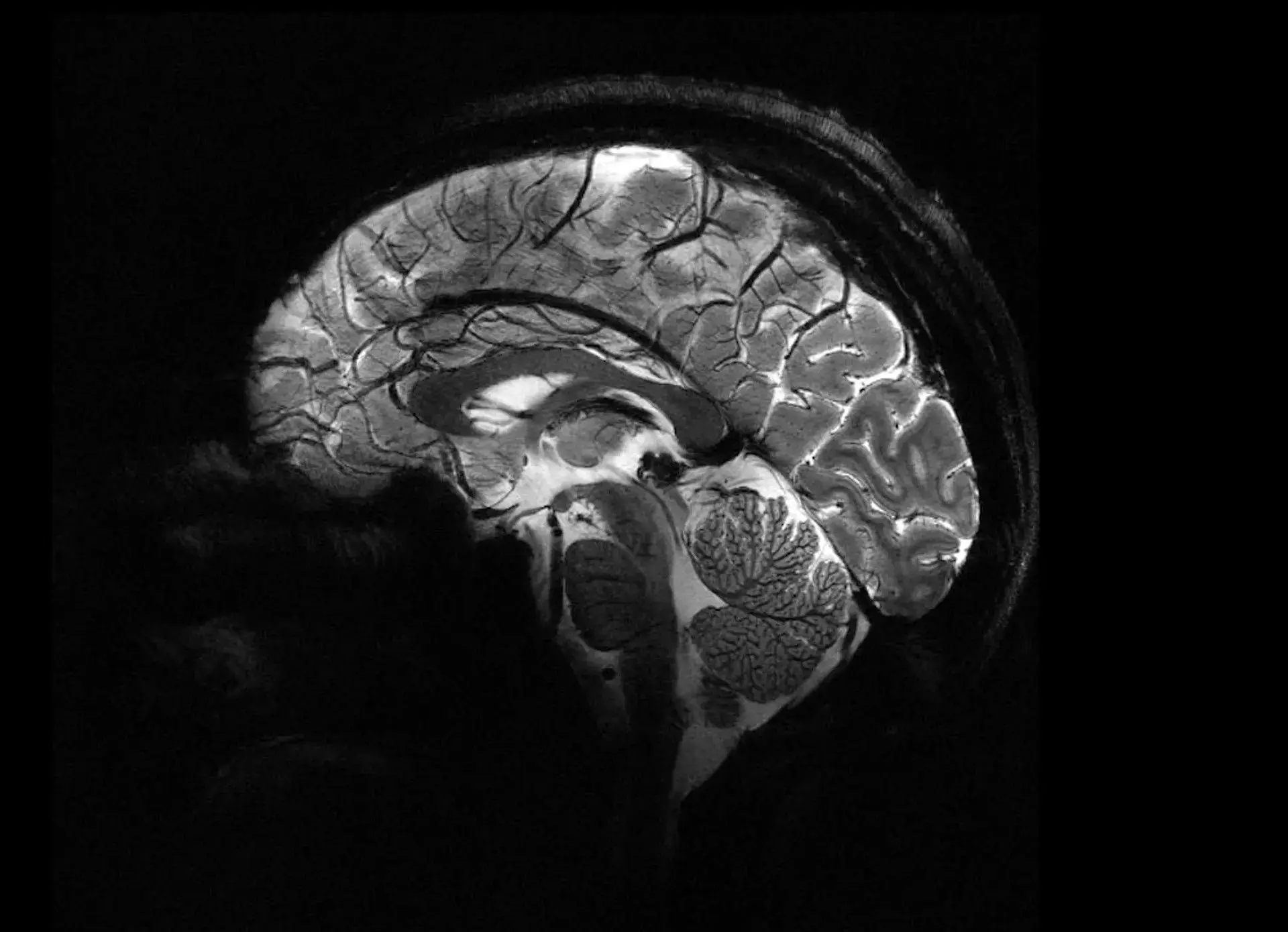
به گزارش اکوایران، قدرتمندترین دستگاه اِمآرآی جهان با آغاز به کار خود و اسکن مغز انسان نشان داد تا چه اندازه کارایی دارد.
به نوشته نیواطلس، تصاویری که توسط این دستگاه - موسوم به «ایزولت» (Iseult) - از مغز انسان به ثبت رسیده دارای وضوح و کیفیت فوقالعاده بالایی است که دانشمندان را قادر میسازد فرآیندهای ذهنی را بهتر درک کنند و به درمان بیماریهای عصبی بپردازند.
این دستگاه توسط کمیسیون انرژیهای جایگزین و انرژی اتمی فرانسه طراحی شده و قدرت میدان مغناطیسی آن 11/7 تسلا برآورد شده است. این میزان بسیار بالاتر از قدرت 1/5 یا 3 تسلای دستگاههای معمولی اِمآرآی است که در بیمارستانها مورد استفاده قرار میگیرند.
قدرت بیشتر دستگاه یادشده، مزیت اصلیِ آن است که باعث میشود تصاویر مغز با وضوح بسیار بالاتری همراه شود و فرآیند عکسبرداری نیز سریعتر به پایان برسد. ایزولت میتواند تنها طی 4 دقیقه، تصاویر دقیقی از بافت مغز به اندازه 0/2 میلیمتر را ارائه دهد. این ویژگی به پزشکان اجازه میدهد تصاویر دقیق از هزاران سلول مغزی را به شکل همزمان و در کوتاهترین مدت در اختیار داشته باشند.

اگر دستگاههای معمولی اِمآرآی بخواهند تصاویری با این کیفیت ارائه دهند، بیماران میبایست برای بیش از دو ساعت و بدون تکان خوردن، در دستگاه قرار داشته باشند؛ اما این اتفاق امکانپذیر نیست و کوچکترین حرکت بدن میتواند کیفیت این تصاویر را پایین بیاورد.
دقت این دستگاه به پزشکان کمک میکند تا به اطلاعاتی دست یابند که پیش از این برای آنها ممکن نبود؛ اطلاعاتی درباره اینکه مغز چگونه کار میکند و چطور به رمزگذاری بازنماییهای ذهنی میپردازد و اینکه کدام نشانههای عصبی با خودآگاهی مرتبط است.
علاوه بر این سوالات پایهای، ایزولت میتواند به درک، تشخیص و درمان بیماریهای عصبی نظیر آلزایمر و پارکینسون کمک کند. دستگاه یادشده همچنین قادر است علائم شیمیایی را که دستگاههای معمولی اِمآرآی قادر به تشخیص آنها نیستند، مشخص کند، از جمله مولکولهایی مانند گلوکز و گلوتامات که در فرآیند متابولیسم مغز و اختلالاتی از قبیل گلیوما و زوال عصبی نقش دارند. ایزولت قادر است توزیع لیتیوم در مغز را مشخص کند؛ فرآیندی که برای درمان اختلالاتی نظیر اختلال دوقطبی مورد استفاده قرار میگیرد.